
50+ publicații

1200+ de intervenții

200+ conferințe
Neurochirurgia augmentată – când fiecare milimetru contează
În intervențiile neurochirurgicale de mare finețe, precizia anatomică și orientarea spațială sunt esențiale. De aceea, folosesc tehnologii de realitate augmentată (AR) și navigație 3D avansată pentru a integra imaginile cerebrale direct în câmpul vizual chirurgical.Cu ajutorul unor soluții software dedicate – inclusiv Argus AI, platformă pe care am cofondat-o – pot proiecta în timp real traiectorii, structuri critice și limitele leziunii direct în câmpul operator, pe suprafața anatomică a pacientului.Cum funcționează în practică?Preoperator: reconstruim imaginea 3D a creierului pe baza RMN-ului, cu marcarea exactă a leziunii și a structurilor elocvente (zone motorii, limbaj, vase majore).
Intraoperator: proiecțiile AR se aliniază peste câmpul real prin microscop sau ecrane suprapuse, oferind ghidare milimetrică în timp real.
Postoperator: evaluăm acuratețea intervenției comparând planificarea cu rezultatul, inclusiv în reconstrucții 3D și analize de poziționare.De ce contează pentru pacient?Această abordare permite:
- maximizarea rezecției tumorale sau leziunale, fără a compromite funcții esențiale,
- scurtarea duratei intervenției și reducerea pierderii de sânge,
- evitarea leziunilor secundare, inclusiv în cazuri cu anatomie modificată (tumori recurente, reintervenții).
📩 Planificare AR și evaluare preoperatorie personalizatăDacă ai fost diagnosticat cu o tumoră cerebrală, o leziune profundă sau ai nevoie de a doua opinie pentru o intervenție neurochirurgicală complexă, poți trimite imaginile RMN/CT prin formularul de pe site.Toate cazurile sunt analizate în detaliu, cu posibilitatea de planificare 3D și integrare AR, acolo unde este relevant, pentru un tratament cât mai sigur și eficient.
Despre mine
M.D., Neurochirurg (USMF)
Licențiat în Științe Economice (ASEM)
Director, Program Chirurgia Epilepsiei și Neuro-oncologie, IMSP IMU
Asistent universitar a USMF ”Nicolae Testemițanu”
Trainee, European Association of Neurosurgical Societies (FEBNS, first year)
Absolvent a Școlii Doctorale (Ph.D. graduate)
Secretar a Asociației Neurochirurgilor din Moldova
Co-fondator Asociație Health-tech We4Health
Co-fondator and Chief Medical Officer, start-up Argus AI
Fellow (finished, 1 year), Department of Neurosurgery, Universitätsklinikum Schleswig-Holstein, Kiel, Germany
Fondator și CEO, Asociația Cercetărorilor din Moldova
Membru, European Society of Stereotactic and Functional (part of World Society of Stereotactic and Functional Neurosurgery)
Membru, Stereotactic Academy
Membru, European Association of Neurosurgical Societies
Cazuri neurochirurgicale reconstruite în 3D
Programări și a doua opinie
Pentru o programare la consultație, cel mai simplu este să mă telefonați (069077771) sau alternativ, vă rugăm să completați formularul de alături.Dacă doriți o a doua opinie medicală, puteți trimite investigațiile imagistice (CT, RMN, etc.) prin WeTransfer sau să le încărcați direct folosind link-ul din dreapta.Ghid pentru trimiterea imaginilor:
- Copiați toate fișierele de pe CD sau stick USB într-un folder.
- Comprimați folderul într-un fișier .zip.
- Trimiteți fișierul arhivat prin linkul oferit.Toate cazurile sunt analizate în mod confidențial, iar răspunsul va fi oferit într-un interval de 24–48h.
Ce include o consultație:
- Analiza detaliată a simptomelor și a istoricului medical.
- Revizuirea investigațiilor imagistice (RMN, CT, EMG etc.) pe calculator, nu doar pelicule sau concluzie.
- Evaluarea clinică neurologică completă.
- Discuția opțiunilor de tratament, inclusiv intervenții chirurgicale, terapii conservatoare sau monitorizare.
- Recomandări personalizate privind pașii următori: investigații suplimentare, tratamente sau necesitatea unei a doua opinii.Durata estimativă: 30–45 de minute
Ai dureri de spate care nu mai trec?
Te doare spatele dimineața când te ridici din pat?Simți o înțepătură când stai mai mult pe scaun sau când te apleci să-ți legi șireturile?Sau poate durerea a început să coboare pe picior ori să-ți amorțească degetele?Nu ești singur. Durerea de spate a devenit una dintre cele mai răspândite probleme ale vieții moderne – și nu ține cont de vârstă, meserie sau stil de viață.Când e „normal” și când e semn că ceva nu e în regulă?
E normal ca spatele să doară ușor după o zi grea. Dar dacă:
- durerea persistă mai mult de câteva zile,
- revine din ce în ce mai des,
- îți îngreunează mersul, somnul sau viața de zi cu zi,
- sau simți amorțeli, slăbiciune sau durere care „coboară” pe picior sau braț...…atunci poate fi un semnal că e ceva mai mult decât o simplă contractură sau oboseală.Ce poate fi cauza?
Fiecare caz e diferit. Dar cele mai frecvente cauze includ:
- Hernii de disc – când discul dintre vertebre apasă pe un nerv
- Uzura coloanei – din postura incorectă, muncă grea sau vârstă
- Nervi „prinși” – în canalul spinal, uneori din naștere, alteori din cauza inflamației
- Și uneori, deși mai rar, probleme mai serioase (fracturi, infecții, tumori)Ce poți face?
Nu aștepta să treacă „de la sine”. Durerea care persistă e un semn că organismul tău cere ajutor.Tratamentul poate însemna:
- exerciții ghidate, recuperare medicală,
- medicamente potrivite pentru inflamație sau nervi,
- infiltrații țintite – fără bisturiu,
- și în unele cazuri, intervenții minim-invazive care rezolvă problema la sursă.

Dacă durerea de spate a devenit parte din viața ta – nu o ignora. Cu cât afli mai repede ce o provoacă, cu atât ai șanse mai mari să o rezolvi fără complicații.📩 Poți solicita o consultație sau trimite imagini (RMN, CT) direct prin formularul de pe site. Analizăm fiecare caz cu atenție, și alegem soluții personalizate, cu cât mai puțin disconfort, dar cu rezultate clare.
Reconstrucția craniană 3D – proteză personalizată, siguranță maximă
Uneori, în urma unei intervenții neurochirurgicale, a unui traumatism sau a unei infecții, o parte a osului cranian trebuie îndepărtată. Această lipsă de os se numește defect cranian și poate afecta atât protecția creierului, cât și aspectul estetic și calitatea vieții.Ce este reconstrucția craniană?Reconstrucția craniană presupune refacerea zonei lipsă cu ajutorul unei proteze personalizate, create cu ajutorul imaginilor CT și a tehnologiilor 3D.Această proteză:
- se potrivește perfect formei craniului tău,
- este realizată din materiale biocompatibile (ex. PEEK, titan, PMMA),
- este rezistentă, sigură și acceptată de organism.De ce 3D?
Tehnologia 3D permite:
- modelarea exactă a formei osului pierdut,
- evitarea intervențiilor multiple de corecție,
- planificarea pre-operatorie virtuală,
- intervenție mai scurtă, mai sigură, mai estetică.Când se face?
Reconstrucția se face după ce țesuturile s-au vindecat complet și nu mai există risc de infecție – de obicei la 3–6 luni de la intervenția inițială.Este indicată în:
- traumatisme craniene severe,
- rezecții tumorale,
- infecții sau complicații chirurgicale,
- malformații sau intervenții estetice corective.



Fiecare caz este diferit. În practica mea, folosesc tehnologii de planificare 3D, realitate augmentată și prototipare digitală, pentru a obține rezultate cât mai apropiate de forma naturală și pentru a proteja creierul în condiții optime.📩 Poți trimite imaginile CT direct prin formularul de pe site pentru o evaluare inițială sau o a doua opinie, telefonic.
Sindromul de tunel carpian – amorțeli care nu mai trec?
Te trezești noaptea cu mâna amorțită?Ai început să scapi obiecte din mână sau simți furnicături în degete, mai ales când stai la birou sau folosești telefonul?Este posibil să fie sindrom de tunel carpian – una dintre cele mai frecvente cauze de amorțeli și slăbiciune în mâini.Ce este?
Tunelul carpian este un pasaj îngust la nivelul încheieturii mâinii, prin care trece nervul median. Când acest nerv este comprimat, apar simptome precum:
- amorțeli sau furnicături în degetele 1–3 (police, arătător, mijlociu),
- durere nocturnă ce poate trezi pacientul din somn,
- slăbiciune sau senzația că obiectele „îți scapă din mână”,
- uneori, atrofie a mușchilor din baza degetului mare.Ce cauzează problema?
- Muncă repetitivă (birou, tastatură, asamblare, croitorie)
- Tulburări hormonale (diabet, hipotiroidism, sarcină)
- Traume, artrită, retenție de lichide
- Predispoziție anatomică (tunel îngust, congenital)Cum se tratează?
- Tratament conservator – în forme ușoare:
- atele de încheietură (mai ales noaptea),
- antiinflamatoare locale,
- fizioterapie și pauze ergonomice.Intervenție chirurgicală – în forme moderate/severe:
- se face sub anestezie locală,
- durează 15–20 de minute,
- se deblochează nervul prin secționarea ligamentului care îl comprimă,
- recuperare rapidă (activitate ușoară în câteva zile).

Netratat, sindromul de tunel carpian poate duce la pierdere permanentă de sensibilitate și forță.
Intervenția este una dintre cele mai eficiente și rapide proceduri neurochirurgicale – cu rezultate excelente dacă este făcută la timp.📩 Pentru evaluare sau a doua opinie, poți trimite EMG/ENG și istoricul simptomelor prin formularul de pe site.
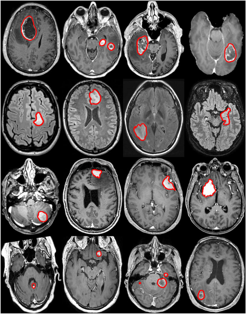
Tumori cerebrale – ce înseamnă diagnosticul și cum aflăm ce tip este?
Când auzi cuvântul „tumoră cerebrală”, primul gând este, de multe ori, teamă. Dar nu toate tumorile sunt la fel. Unele pot fi benigne (non-canceroase), altele maligne, dar multe pot fi tratate cu succes dacă sunt diagnosticate și abordate corect, la timp.Ce este o tumoră cerebrală?
O tumoră cerebrală este o creștere anormală a unor celule în interiorul craniului. Poate apărea:
- din țesutul nervos (gliom, astrocitom),
- din teaca nervilor (schwannom),
- din meninge (meningiom),
- sau poate fi o metastază venită din altă parte a corpului.Cum afli ce tumoră ai?
Pentru a stabili exact tipul tumorii și tratamentul potrivit, sunt necesare mai mulți pași:1. Simptomele clinice
Primele semne pot include:
- dureri de cap persistente, mai ales dimineața,
- tulburări de vedere, echilibru sau vorbire,
- slăbiciune sau amorțeli pe o parte a corpului,
- convulsii (crize epileptice),
- modificări de personalitate sau memorie.2. Imagistică (RMN, CT)
RMN cu substanță de contrast este standardul de aur pentru vizualizarea tumorii.Ne arată localizarea, dimensiunea, forma și gradul de infiltrare.Uneori se face și spectroscopie RMN, perfuzie cerebrală sau tractografie (pentru planificare chirurgicală 3D).3. Biopsie (standard sau asistată imagistic)
În unele cazuri, se recomandă prelevarea unei mostre din tumoră, pentru diagnostic histopatologic exact.Se poate face în timpul operației sau printr-o procedură ghidată imagistic (biopsie stereotactică).Ce urmează după diagnostic?
În funcție de tipul tumorii, tratamentul poate include:
- Chirurgie (clasică sau minim-invazivă, cu navigație și AR),
- Radioterapie (convențională sau stereotactică),
- Chimioterapie (în tumori maligne),
- Monitorizare activă (în unele cazuri benigne, stabile).

Fiecare tumoră este diferită – la fel și creierul fiecărui pacient.
De aceea, o a doua opinie specializată poate face diferența între o intervenție riscantă și o abordare sigură, personalizată.📩 Trimite investigațiile imagistice (RMN, CT) prin formularul de pe site pentru o evaluare sau pentru a doua opinie.





